Some past projects
Automatic Segmentation of Brain Gliomas in Diffusion-Tensor
Magnetic Resonance Images 
In
collaboration with the IRCCS San Raffaele
Hospital and Università Vita-Salute San Raffaele, Milan (Neuroradiology
Unit), we have developed a CAD system for the automatic or
semi-automatic detection of brain gliomas in magnetic resonance imaging
of different modality (T2W, FLAIR, DTI).
Chemiotherapic Follow-up of Brain Gliomas 
Brain
gliomas invade surrounding tissues
along white matter fibers, spreading beyond the pathological area
highlighted by conventional MRI (Magnetic Resonance Imaging). The
response to chemotherapy treatment
is currently assessed on the basis of the variation in tumor volume,
often carried out visually. The system we have developed, in
collaboration with the IRCCS San Raffaele Hospital and Università
Vita-Salute San Raffaele, Milan (Neuroradiology Unit), performs a
point-by-point assessment based on diffusion tensor maps.
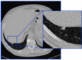
Pleural Nodule Detection in Chest CT
A CAD
has been developed for the automatic detection of pleural nodules in
pulmonary CT images. The project was part of the INFN experiments
called MAGIC5 (Medical Applications on a Grid Infrastructure
Connection) and M5L (MAGIC5 Lung).
MRI for Early Diagnosis of Alzheimer Disease
We
contributed to the development of an early detection system for
neurodegenerative diseases, particularly Alzheimer's, in magnetic
resonance imaging. The project was the responsibility of the INFN
experiment called MAGIC5 (Medical Applications on a Grid Infrastructure
Connection).
Current projects
Brain-Computer Interfaces 

This project concerns the creation
of a BCI based on EEG data. First results show that features calculated
from EEG allow recognizing vowels in silent
speech. Collaboration with Mirko Grimaldi
from CRIL,
Centro di Ricerca Interdisciplinare sul
Linguaggio, University of Salento.
Computational Fluid Dynamics in Stenotic Tracheas



This project concerns the CFD simulation of airflow in healthy and
stenotic tracheas, with the purpose of correlating clinical parameters
with CFD outcomes. Collaboration with Riccardo Buccolieri from DISTEBA
(Dipartimento di Scienze e Tecnologie Biologiche e Ambientali,
University of Salento), and the group of Gianni Galluccio MD from Azienda Ospedaliera San
Camillo Forlanini in Rome.
Discrimination
of Infiltrative vs In-Situ Breast Cancer in DCE-MRI 
Breast cancer can be classified into
two main groups: in situ and infiltrative, with the latter being the
most common malignant. The prototype of a CAD system for the
discrimination between in situ and infiltrating tumours is under
development. Collaboration with the group of Maurizio Portaluri MD from
the Di Summa - Perrino Hospital in Brindisi.
Reflectance Confocal Microscopy for Cutaneous Melanoma Detection


RCM
is a well-established technique that has been shown to
significantly increase the sensitivity and specificity of melanoma
diagnosis when compared with the traditional naked-eye examination. A
CAD system is under development to support the physician during
diagnosis. Collaboration with Città di Lecce Hospital, with Massimo
Federico MD and the group of Giovanni Pellacani MD from Università di
Modena e Reggio.
Congenital Diaphragmatic Hernia
A study is
starting on the possibility of predicting the occurrence of pulmonary
hypertension (PH) in the newborn from fetus radiomics features in MRI.
As PH is related to the need of ECMO (ExtraCorporeal Membrane
Oxygenation) for the newborn, early prenatal assessment may be vital
for therapy. Collaboration with the group of G. Cavallaro MD PhD from
Fondazione IRCCS Ca' Granda Ospedale Maggiore Policlinico, Università
degli Studi di Milano.